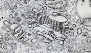
Attēlā redzams Goldži komplekss, kuru veido plakanu cisternu sistēma. Atkarībā no šūnas funkcionālās aktivitātes mainās Goldži kompleksa cisternu „kaudzīšu” skaits vienā šūnā.

Kurās šūnās Goldži komplekss ir labāk attīstīts nekā citās?
Atsauce:
https://www.visc.gov.lv, Valsts eksāmens bioloģijā 2020.g.
Lai iesniegtu atbildi un redzētu rezultātus, Tev nepieciešams autorizēties. Lūdzu, ielogojies savā profilā vai reģistrējies portālā!