Lai izprastu mikropasaules izmēru savstarpējās proporcijas, jāzina izmantojamās mērvienības.
Animācija par mikropasaules izmēriem Mikropasaules izmēri
Vislielāko palielinājumu mūsdienās var iegūt ar caurstarojošo elektronmikroskopu - tas palielina līdz vienam miljonam reižu. Šādā palielinājumā kļūst saskatāmas olbaltumvielu, DNS molekulas.
Lai vieglāk būtu novērtēt mikroskopisko objektu izmērus, to attēliem parasti pievieno mēroga skalu. To izmanto, lai aprēķinātu objekta patiesos izmērus.

Piemērs:
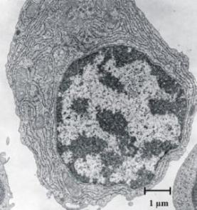
Uzdevuma piemērs: Nosaki attēlā redzamās šūnas struktūras izmērus, izmantojot pie attēla doto mēroga skalu!
- Nolasi attēlam pievienoto mērogu µm! Kodols - 1 mikrometrs
- Izmēri, cik cm atbilst pie katra attēla dotā mēroga skala! Kodolam - 1 cm
- Izmēri, kāds ir attēlā redzamās struktūras izmērs cm! Kodola diametrs - 5 cm
- Aprēķini, kāds ir katrā attēlā redzamās struktūras izmērs µm, izmantojot formulu:

Piemēram, dotajam kodolam: 5 cm × 1 µm / 1 cm = 5 µm
Izmantojot mēroga skalu, var aprēķināt arī attēla palielinājumu. Izmēra mēroga skalu milimetros un pārvērš tādās mērvienībās, kādās dots mēroga skalas izmērs. Izdala doto skaitli ar mēroga skalas patieso garumu.
Piemērs:
Uzdevuma piemērs:
Aprēķini, cik reižu palielināts attēlā redzamais kodols, izmantojot formulu!
(1µm = 1 × 10 -6 m ; 1cm = 2 × 10 -2 m)
Aprēķini, cik reižu palielināts attēlā redzamais kodols, izmantojot formulu!
(1µm = 1 × 10 -6 m ; 1cm = 2 × 10 -2 m)
5 × 10000 / 5 = 10000 reizes
Izvērtējot katra objekta palielinājumu var noteikt, ar kādu mikroskopu tas aplūkots. Tie objekti, kas palielināti dažus simtus līdz 2 tūkstošus reižu, aplūkoti gaismas mikroskopā, bet tie, kas palielināti vairākus desmitus tūkstošus reižu – elektronmikroskopā.
Atsauce:
Attēli no http://www.southtexascollege.edu/nilsson/4_GB1_LearnRes_fa10_f/4_GB1_LearnRes_Web_Ch05.html