Caur kodola apvalku notiek intensīva vielu apmaiņa starp kodolu un citoplazmu, ko atvieglo apvalkā esošās poras. Kodolplazma līdzinās citoplazmai un satur nukleīnskābes un olbaltumvielas.
Hromatīnu veido DNS, kas glabā iedzimtības informāciju. Šūnu dalīšanās laikā hromatīns veido hromosomas, bet pārējā laikā ir izkliedēts kodolā.
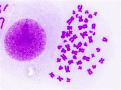
Hromosomas ir vislabāk saskatāmas vienā šūnas dalīšanās fāzē, kuru sauc par metafāzi. Tieši tās laikā parasti pēta hromosomu uzbūvi.
Tipiska metafāzes hromosoma sastāv no divām hromatīdām, kuras savstarpēji savienotas ar centromēru. Hromosomas daļas abpus centromērai sauc par hromosomas pleciem.

Cilvēkam katrā šūnā ir 46 hromosomas. Visu hromosomu kopumu sauc par kariotipu.

Cilvēkam ir 44 autosomas (hromosomas, kas abiem dzimumiem vienādas) un viens pāris dzimumhromosomu (tās vīriešiem un sievietēm ir atšķirīgas).Vīriešiem dzimumhromosomas ir X un Y hromosomas, bet sievietēm - divas X hromosomas.
Dažādiem organismiem hromosomu skaits ir dažāds.

Skudras Myrmecia pilosula tēviņam ir tikai viena hromosoma, bet mātītei - divas hromosomas.

Papardei Ophioglossumreticulatum katrā šūnā ir 1260 hromosomas.
Atsauce:
http://www.liis.lv/anatom/Antomija/2/2cit/2cit11.htm
Attēli no http://micro.magnet.fsu.edu/cells/animals/nucleus.html
http://biology.unm.edu/ccouncil/Biology_124/Summaries/Sex.html
http://bio1151.nicerweb.com/Locked/media/ch15/XY.html
http://www.polynesien.minks-lang.de/a.pol.englisch/pol1.arten.o/ophioglossum.reticulatum1.html