Kas ir šūna?
Visi dzīvie organismi sastāv no mazām daļiņām - šūnām. Dažreiz šūnas ir tik lielas, ka tās var viegli ieraudzīt. Labi saskatāmas šūnas ir daudziem augļiem: apelsīnam, mandarīnam, ābolam, tomātam. Tomēr lielākā daļa šūnu ir tik mazas, ka to saskatīšanai nepieciešamas palielināmās ierīces - dažādi mikroskopi.

Organismi ir dažādi - augi, dzīvnieki, sēnes. Šūnām organismos jāveic dažādus pienākumus. Piemēram, vienas šūnas sargā organismus no ārpuses, citas nodrošina kustības, citas - palīdz sajust apkārtējo vidi. Tāpēc dažādu organismu šūnas un šūnas, kurām ir dažādi uzdevumi, izskatās atšķirīgi. Aplūko attēlus, kurās redzamas dažas palielinātas šūnas:

Muskuļu šūna (zīmējums)

Nervu šūna (zīmējums)

Auga virsējās kārtas šūna (mikrofotogrāfija)
Kas ir audi?
Organismus veido ļoti daudzas šūnas. Kā tās turas kopā? Līdzīgas šūnas savienojas grupās, kuras sauc par audiem. Dažkārt audus varam redzēt bez īpašām palīgierīcēm. Piemēram, gaļa sastāv no muskuļaudiem, kuros muskuļu šūnas savienojušās garās šķiedrās:

Tomēr parasti audus, tāpat kā atsevišķas šūnas, apskata mikroskopā. Mikroattēlos var redzēt, ka audus veido līdzīga izskata šūnas.

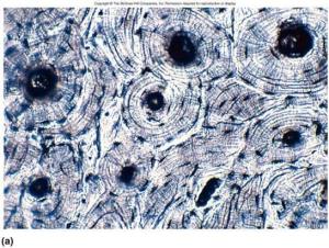
Kaulaudi

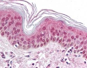
Cilvēka ādu veido segaudi

Augu virsmu klāj segaudi
Atsauce:
http://www.care2.com/greenliving/13-health-benefits-of-oranges.html
http://www.chemistry-school.info/growing_muscles.htm
http://www.gettyimages.com/detail/illustration/nerve-cell-computer-artwork-of-a-nerve-cell-royalty-free-illustration/85758276
http://education-portal.com/academy/lesson/light-microscope-definition-uses-parts.html
http://www.roastedmontreal.com/2012/10/sous-vide-cooking-with-sous-vide-supreme.html
https://www.studyblue.com/notes/note/n/tissues/deck/6733541
http://www.novusbio.com/primary-antibodies/tgf-alpha
https://s10.lite.msu.edu/res/msu/botonl/b_online/e04/04a.htm