Elpošanas orgāniem ir tieša saskare ar ārējo vidi, tāpēc tie ir pakļauti daudzām infekcijām.
Angīna ir augšējo elpceļu, visbiežāk aukslēju mandeļu iekaisums. Ar angīnu vairāk slimo bērni un jaunieši. Slimības ierosinātāji parasti ir strutu veidošanos izraisošas baktērijas - stafilokoki, streptokoki, vīrusi vai patogēnās sēnes.

Slimniekam parasti palielinās un kļūst sāpīgas mandeles, uz tām redzami strutaini veidojumi, paaugstinās temperatūra. Pret angīnu neveidojas specifiskā imunitāte, tāpēc ar šo slimību slimo vairākkārt.
Difterijai ir vairākas formas, atkarībā no tā, kādi orgāni ir inficēti. Šai infekcijas slimībai ir raksturīga plēvainu aplikumu veidošanās uz gļotādām un ādas. Visbiežāk ar difterijas nūjiņu tiek inficēti elpceļi, retāk - dzimumorgānu gļotāda, acu gļotāda. Mikroorganismiem vairojoties, izdalās toksīni. Pirmajās slimības dienās difterijas toksīna dēļ veidojas gļotādas apsārtums, tūska, šūnu bojāeja un īpašu plēvju veidošanās. Toksīni uzsūcas arī asinīs un izplatās pa visu organismu. Tie toksiski iedarbojas uz sirds muskuli, skar nervu sistēmu, rada nieru un aknu bojājumus. Parasti ar difteriju slimo nevakcinēti cilvēki vai arī cilvēki ar vāju imunitāti.
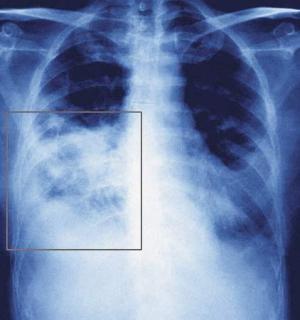
Plaušu karsonis ir smaga plaušu infekcijas slimība, kuru visbiežāk izraisa baktērijas pneimokoki, kas pastāvīgi atrodas uz elpceļu gļotādas. To aktivēšanos veicina saaukstēšanās, pārpūle, traumas, akūtas infekcijas. Slimībai ir raksturīgs klepus, nespēks, apgrūtināta elpošana, stipri paaugstināta temperatūra. Infekcija izraisa gļotu un strutu uzkrāšanos alveolās, tādējādi apgrūtinot gāzu maiņu.
Infekcijas perēkļus var saskatīt, veicot plaušu rentgenu. Specifiskā imunitāte neveidojas pret visām baktērijām, kas izraisa plaušu karsoni, tāpēc ar šo slimību var saslimt vairākkārt.

Plaušu tuberkulozi izraisa baktērija, kuru sauc par tuberkulozes nūjiņu. Tā ir lipīga slimība, ar kuru parasti inficējas no slima cilvēka, tam runājot, klepojot, šķaudot. Tuberkulozes nūjiņām nonākot plaušās, leikocīti rada aizsargkapsulas - tuberkulus, izolējot tās no pārējā organisma.

Ja organisma aizsargspējas ir labas, baktērijas ilgstoši tiek turētas "ieslodzījumā". Samazinoties aizsargspējām, baktērijas var atbrīvoties no aizsargkapsulām un izraisīt saslimšanu. Tuberkulozes slimniekiem sairst alveolas un to vietā rodas neelastīgi saistaudi. Slimības pazīmes ir klepus ar krēpām un reizēm - ar asiņu piejaukumu. Līdz 20. gs. vidum tuberkuloze parasti beidzās letāli, bet līdz ar antibiotiku atklāšanu slimību var izārstēt. Situāciju pasliktina tas, ka rodas jauni tuberkulozes baktēriju celmi, kuri ir izturīgi (rezistenti) pret jau izmantotajām antibiotikām. Īpaši uzņēmīgi pret tuberkulozi ir mazi bērni, tāpēc ārsti iesaka viņus vakcinēt pret tuberkulozi.
Plaušu vēzis nav infekcijas slimība. Plaušu vēža veidošanos veicina kancerogēnie faktori, kas rada izmaiņas šūnu iedzimtības materiālā. Šūnas sāk nekontrolēti vairoties. Sākumā vēzis ir lokalizēts vienā vietā, bet pēc kāda laika daļa šūnu atdalās un iespiežas citos audos - veido metastāzes. Plaušās vēzis var izplatīties tik ilgi, līdz nosprosto bronhus un plaušas vairs nesaņem gaisu. Bojātā plauša sabrūk un veidojas infekcija.
Lielākoties plaušu vēža attīstības iemesls ir smēķēšana. Uzskata, ka aktīva smēķēšana palielina saslimšanas risku ar plaušu vēzi 13 reizes, bet pasīvā smēķēšana - 1,3 reizes. Plaušu vēža attīstībai ir arī citi riska faktori: kontakts ar azbestu, radonu, arsēnu, radioaktīvo starojumu.