Mikroskopija (sengrieķu val. mikros - mazs, skopein - skatīties) ir viena no svarīgākajām bioloģijā pielietojamām metodēm, bez kurām nebūtu iespējama dzīvo organismu uzbūves izpēte. Vienkāršākā no dzīvo organismu mikroskopiskās izpētes metodēm ir gaismas mikroskopija.

Pirmo salikto mikroskopu 1595. gadā Midleburgā konstruē nīderlandiešu optiķis Zahariass Jansens (Zacharias Janssen, 1580 – 1638). Tā kā tajā laikā viņš bija ļoti jauns, tad, visticamāk, to bija izdarījis viņa tēvs Hanss Jansens, bet Zahariass vēlāk pārņēma viņa darbu.
Mikroskopa konstrukciju veidoja divi viens otrā iemontēti cilindri, kuriem katrā galā nofiksēta lēca. Saliktā veidā tas deva palielinājumu 3 x, bet izvilktā stāvoklī – 9 x.
Vislielāko atklājumu mikroskopijas vēsturē izdarījis angļu zinātnieks Roberts Huks (Robert Hooke, 1635 – 1703) kurš 1660. gadā ar paša konstruēto mikroskopu korķa šķērsgriezumā saskata auga organisma pamatelementus un vēlāk ievieš nosaukumu “šūna” (cellula).

Korķa šūnas
Dažus gadus vēlāk – 1668. gadā nīderlandiešu apģērbu tirgotājs, izgudrotājs, dabas pētnieks Antonijs van Lēvenhuks (Antony van Leeuwenhoek, 1632 – 1723) konstruē vienkāršu, tomēr ļoti precīzu mikroskopu (patiesībā – palielināmo stiklu) ar palielinājumu ~280 x. Viņš pavisam izgatavojis ~500 šādas konstrukcijas mikroskopu, no kuriem vairāki saglabājušies līdz mūsdienām. Ar savas konstrukcijas mikroskopu Lēvenhuks novērojis un aprakstījis pavedienveida aļģi spirogīru, kā arī daudzus citus protistus, ieskaitot skropstiņinfuzorijas. Lēvenhuks atklājis arī eritrocītus, pirmais mikroskopā novērojis amēbas, ko aprakstījis kā “sīkus krokainus pūslīšus smilšu graudu lielumā”.
Mūsdienu mikroskopu veidi:

Caurstarojošais mikroskops fokusē caur objektu izgājušo gaismu. Tā maksimālais palielinājums ir 2000 x. Pētāmajam objektam jābūt plānam. Attēlā sīpola virsmiziņas šūnas.

Stereo jeb atstarojošais mikroskops fokusē no objekta atstaroto gaismu. Tā maksimālais palielinājums ir 40 x un ar to pēta telpiskus objektus. Attēlā pelējums.
2. Elektronmikroskopi

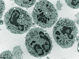
Caurstarojošais elektronmikroskops fokusē caur objektu izgājušos elektronus. Tā maksimālais palielinājums ir 1 000 000 x un objektam ir jābūt plānam. Iegūst objekta fotoattēlu. Attēlā redzamas cilvēka asins šūnas - neitrofili.

Skenējošais jeb atstarojošais elektronmikroskops fokusē no objekta atstarotos elektronus. Tā maksimālais palielinājums ir 250 000 reizes. Ar to pēta telpiskus objektus un iegūst to fotoattēlu. Attēlā redzama skudra.
Šūnu bioloģijas pētījumos tiek izmantoti vēl citi mikroskopu veidi, kombinētas dažādas pētīšanas metodes.