Ievieto atbilstošo audu attēlu zem tā nosaukuma!
1. Attēls, kurā redzami vai norādīti vadaudi -
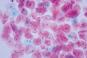
2. Attēls, kurā redzami epitēlijaudi -
Atbilžu varianti:









Lai iesniegtu atbildi un redzētu rezultātus, Tev nepieciešams autorizēties. Lūdzu, ielogojies savā profilā vai reģistrējies portālā!